강아지 심장병 2단계란?
강아지가 평소보다 쉽게 숨을 헐떡이고, 산책 후 유난히 피곤해한다면 단순한 노화의 징조로 넘기기 어려울 수 있다.
특히 심장병 2단계는 보호자가 보기에 뚜렷한 증상이 나타나기 시작하면서도,
조기 진단과 일상 관리만 잘해도 진행을 늦출 수 있는 시기이기 때문에 매우 중요하다.
이 글에서는 강아지 심장병 2단계의 정의, 주요 증상, 진단 과정, 약물 치료, 식단 및 생활 관리 팁까지
수의사가 아닌 보호자 입장에서 꼭 알아야 할 현실적인 조언을 중심으로 자세히 설명한다.
당신의 강아지가 더 오랫동안 건강하게 숨 쉴 수 있도록, 지금 필요한 지식들을 하나씩 정리해보자.

- 심잡음이 청진에서 확인됨
- 아직 증상은 거의 없음 (호흡 이상 없음)
- 엑스레이나 심장 초음파에서 구조적 변화가 일부 보임
- 운동 후 피로감이 증가할 수 있음
주요 증상 – 보호자가 놓치기 쉬운 신호
보호자는 종종 심장병의 징후를 노화나 일시적 컨디션 저하로 오해하기 쉽다.
그러나 다음과 같은 미세한 변화는 2단계의 중요한 힌트가 될 수 있다:
대표적인 증상들:
- 산책 후 회복 속도가 느려짐
- 밤에 자주 기침하거나, 누워있다가 갑자기 기침함
- 사소한 운동에도 숨이 찬다거나 헐떡임
- 잠자는 자세가 바뀜 (목을 뻗고 숨 쉬는 자세)
- 몸무게 감소 또는 식욕 저하
2단계에서는 기침이 항상 있는 것은 아니지만, 누워있을 때 가볍게 기침을 하거나, 침을 자주 삼키는 듯한 행동이 관찰된다면 주의가 필요하다.
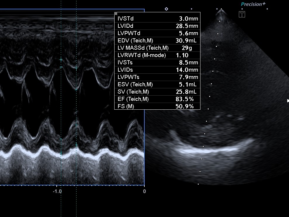
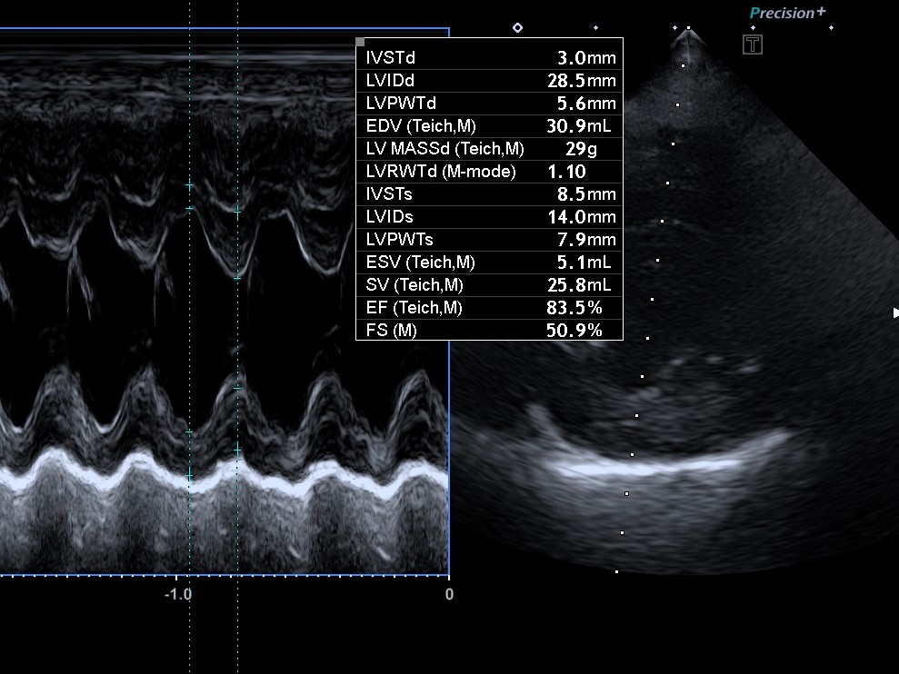
정확한 진단 방법
강아지 심장병은 보호자의 눈으로만 파악하기 어렵기 때문에, 정확한 진단이 필수적이다.
2단계 진단은 다음의 과정을 통해 이루어진다:
진단 절차:
- 청진: 수의사가 심잡음(잡음의 강도 1~6단계 중)을 청진기로 확인
- 심장 초음파 검사: 심장의 구조적 변화 확인 (심실 확장, 승모판 이상 등)
- 흉부 엑스레이: 심장의 크기 변화 확인
- BNP 혈액 검사: 심부전 여부의 초기 징후를 수치로 확인
특히 초음파 검사 결과에서 좌심방 크기(Left Atrium Enlargement) 가 커졌다면,
이는 이미 병이 상당 부분 진행됐다는 신호일 수 있다.
약물 치료 – 꼭 필요한가?
2단계에서는 보통 약물 치료는 선택 사항으로 고려되지만,
초기 구조적 이상이 뚜렷하거나 심잡음이 강할 경우, 수의사가 예방적 약물 투여를 권장하기도 한다.
대표 약물:
- 피모벤단(Pimobendan): 심장 수축력을 높이고, 혈류를 개선
- ACE 억제제 (ex. Enalapril): 혈압 조절 및 심장 부담 감소
2단계에서 약물을 미리 쓰는 것에 대한 논란은 있지만,
수의사의 판단과 초음파 결과를 기반으로 ‘예방적 처방’을 시작하는 경우도 증가하고 있다.
식단과 영양 관리
음식은 강아지 심장 건강에 직결된다.
특히 나트륨(소금) 함량이 높은 간식이나 사람 음식 섭취는
심장의 부담을 가중시켜 병의 진행을 빠르게 할 수 있다.
식단 관리 포인트:
- 저염 사료 선택 (수의사 처방식 or 저염 수제 사료)
- 오메가3와 코엔자임Q10 보충 – 심장 근육 보호
- 비만 방지 – 체중 증가 시 심장 부담 ↑
- 수분 섭취 유도 – 신장과 심장에 무리 방지
수의사가 추천하는 기능성 영양제 중에는
타우린, L-카르니틴, 아르기닌 등이 포함된 제품이 있다.
일상생활 관리법
심장병 2단계 강아지는 아직 일상생활이 가능하지만,
보호자가 생활 루틴을 잘 관리해줘야 병의 진행을 늦출 수 있다.
체크리스트:
| 일상 산책 | 짧고 규칙적으로 (격한 운동 피하기) |
| 수면 환경 | 조용하고 통풍 잘되는 공간 마련 |
| 스트레스 관리 | 낯선 장소, 불필요한 병원 방문 최소화 |
| 정기 검진 | 6개월마다 심장 초음파 또는 흉부 X-ray 확인 |
| 기침 모니터링 | 시간, 상황(잠자리, 식사 후 등)을 기록 |
심장병은 ‘증상이 없다고 안심할 수 없는’ 병이다.
따라서 정기적인 모니터링과 수의사와의 소통이 가장 중요하다.
보호자로서의 마음가짐
심장병 2단계는 대부분 보호자 입장에서는 “그냥 조금 지친가?” 정도로 생각되기 쉽다.
하지만 병은 이미 시작됐고, 보이지 않는 속도로 조금씩 진행 중이다.
지금 단계에서 책임감 있는 관찰, 식단 조절, 운동량 관리만 잘해도
심장병의 진행을 수년간 늦출 수 있다.
심장병은 완치가 어렵지만, 관리 가능한 병이라는 점을 잊지 말아야 한다.
마무리 요약
- 강아지 심장병 2단계는 눈에 잘 띄지 않는 경고 신호가 많다
- 기침, 피로감, 운동 후 회복 속도 저하 등은 놓치면 안 되는 단서
- 조기 진단과 관리만 잘해도 심장병 3~4단계로의 진행을 수년 늦출 수 있음
- 보호자가 할 수 있는 생활 습관 개선이 약물보다 중요할 때도 많음
당신의 강아지가 편안하게 숨 쉴 수 있는 날들을 더 오래 지킬 수 있도록,
오늘부터 실천해보자.