kimolzlolz11 님의 블로그

  • 홈
  • 태그
  • 방명록

강아지 심장병 2단계에 대해서 1

강아지 심장병 2단계 – 증상, 관리법, 보호자가 꼭 알아야 할 현실 조언”

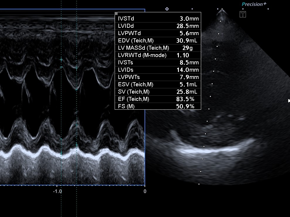
강아지 심장병 2단계란?강아지가 평소보다 쉽게 숨을 헐떡이고, 산책 후 유난히 피곤해한다면 단순한 노화의 징조로 넘기기 어려울 수 있다.특히 심장병 2단계는 보호자가 보기에 뚜렷한 증상이 나타나기 시작하면서도,조기 진단과 일상 관리만 잘해도 진행을 늦출 수 있는 시기이기 때문에 매우 중요하다.이 글에서는 강아지 심장병 2단계의 정의, 주요 증상, 진단 과정, 약물 치료, 식단 및 생활 관리 팁까지수의사가 아닌 보호자 입장에서 꼭 알아야 할 현실적인 조언을 중심으로 자세히 설명한다.당신의 강아지가 더 오랫동안 건강하게 숨 쉴 수 있도록, 지금 필요한 지식들을 하나씩 정리해보자. 심잡음이 청진에서 확인됨아직 증상은 거의 없음 (호흡 이상 없음)엑스레이나 심장 초음파에서 구조적 변화가 일부 보임운동 후 피로감..

강아지 심장병 2단계에 대해서 2025.07.23
이전
1
다음
더보기
프로필사진

kimolzlolz11 님의 블로그

kimolzlolz11 님의 블로그 입니다.

  • 분류 전체보기 (38)
    • 한국 결혼식 축의금 문화, 외국인에게는 낯선 관습 (1)
    • 한국에서 집에 들어가기 전 신발 벗기가 기본예절일.. (0)
    • 한국의 ‘무단 횡단 허용 구간’ 기준 (1)
    • 한국의 반찬 리필 문화, 외국인들이 놀라는 이유 (1)
    • 한국의 나이 계산법? (1)
    • 한국의 초상집 문화, ‘조문예절’ 총정리 (1)
    • 한국의 ‘노키즈존’ 논란, 외국과 비교 (1)
    • 한국 ‘김치냉장고’, 그 탄생 배경은? (1)
    • 한국 김치 역사는 언제 부 터 인가? (1)
    • 한국 문화의 새뱃돈 기준 (1)
    • 한국의 ‘호칭 문화’, 왜 이름을 부르면 실례일까.. (1)
    • 한국에선 어르신에게 두 손으로 물건을 드리는 진짜.. (1)
    • 한국식 ‘정(情)’ 문화, 왜 거절도 마음으로 받.. (1)
    • 한국에서 현금보다 ‘상품권’을 선물하는 이유? (1)
    • 한국은 밥 먹었어?”가 인사말이 되는 나라 (1)
    • 한국에선 아파트 배달 음식은 문 앞에 두고 가는 .. (1)
    • 한국 명절에 꼭 챙기는 ‘차례 상’, 구성과 의미.. (1)
    • 한국 지역 별 차례상 문화 (1)
    • 한국에서 나이 순으로 시작하는 식사 예절 문화 (1)
    • 한국 찜질방 문화: 사우나 그 이상, 휴식과 소통.. (1)
    • 한국에선 집에 들어가기 전 ‘신발 벗기’, 왜 기.. (1)
    • 한국에서만 있는 비빔밥 문화 – 혼합의 미학과 정.. (1)
    • 한국 전통 된장 만드는 법 (1)
    • 강아지심장병 (1)
    • 강아지 승모판 폐쇄부전증 이란? (1)
    • 강아지 신부전 (1)
    • 강아지 심장병 1단계에 대해서 (1)
    • 강아지 심장병 2단계에 대해서 (1)
    • 강아지 심장병 3단계에 대해서 (1)
    • 강아지 심장 사상충에 대해서 (1)
    • 강아지 심근증이란? (1)
    • 강아지 선천성 심장병이란? (1)
    • 강아지 협착증에 대해서 (1)
    • 강아지 선천성 기형에 대해서 (1)
    • 강아지 구개열에 대해서 (1)
    • 강아지 뇌수두증에 대해서 (1)
    • 강아지 선천성 백내장이란? (1)
    • 강아지 백내장 (1)
    • 강아지 슬개골이란? (1)

Tag

최근글과 인기글

  • 최근글
  • 인기글

최근댓글

공지사항

페이스북 트위터 플러그인

  • Facebook
  • Twitter

Archives

Calendar

«   2026/05   »
일 월 화 수 목 금 토
1 2
3 4 5 6 7 8 9
10 11 12 13 14 15 16
17 18 19 20 21 22 23
24 25 26 27 28 29 30
31

방문자수Total

  • Today :
  • Yesterday :

Copyright © AXZ Corp. All rights reserved.

티스토리툴바