전체 글 38

강아지 심장병 3단계에 대해서

강아지 심장병 3단계에 대해서반려견은 우리 가족과도 같은 존재다. 하지만 나이가 들거나 품종적 특성으로 인해 다양한 질환에 노출되기 쉽다. 그중에서도 심장병은 반려견의 생명에 직결될 수 있는 심각한 질환 중 하나다. 특히 심장병 3단계에 이르면 증상이 뚜렷해지고, 보호자의 세심한 관찰과 적극적인 치료가 필수적이다. 많은 보호자들이 강아지의 숨 가쁨, 기침, 무기력 등의 증상을 노화로 오인하는 경우가 많다. 하지만 이런 증상들은 심장병의 중기, 즉 3단계에서 흔히 나타나는 전형적인 신호일 수 있다.이 글에서는 강아지 심장병의 3단계란 무엇인지, 어떤 증상과 변화가 나타나는지, 그리고 치료 및 관리 방법은 무엇인지를 구체적이고 실용적인 관점에 대해서 알아보자강아지 심장병 단계 구분 간단 정리강아지의 심장병은..

강아지 심장병 2단계 – 증상, 관리법, 보호자가 꼭 알아야 할 현실 조언”

강아지 심장병 2단계란?강아지가 평소보다 쉽게 숨을 헐떡이고, 산책 후 유난히 피곤해한다면 단순한 노화의 징조로 넘기기 어려울 수 있다.특히 심장병 2단계는 보호자가 보기에 뚜렷한 증상이 나타나기 시작하면서도,조기 진단과 일상 관리만 잘해도 진행을 늦출 수 있는 시기이기 때문에 매우 중요하다.이 글에서는 강아지 심장병 2단계의 정의, 주요 증상, 진단 과정, 약물 치료, 식단 및 생활 관리 팁까지수의사가 아닌 보호자 입장에서 꼭 알아야 할 현실적인 조언을 중심으로 자세히 설명한다.당신의 강아지가 더 오랫동안 건강하게 숨 쉴 수 있도록, 지금 필요한 지식들을 하나씩 정리해보자. 심잡음이 청진에서 확인됨아직 증상은 거의 없음 (호흡 이상 없음)엑스레이나 심장 초음파에서 구조적 변화가 일부 보임운동 후 피로감..

강아지 심장병 1단계에 대해서

강아지 심장병 1단계란?심장병 1단계(Stage B1)는 심장에 구조적인 이상이 생기기 시작한 초기 단계입니다. 이 단계에서는 청진 시 심잡음이 감지되지만, 아직 심장의 크기 변화나 증상이 없는 상태입니다. 즉, X-ray나 심장 초음파상에서 구조적인 이상이 있을 수 있으나, 강아지는 겉으로는 전혀 아프지 않아 보입니다.이때는 증상이 없어 보호자도 모르고 지나치는 경우가 많지만, 조기 관리만 잘하면 수년 동안 정상적으로 생활할 수 있습니다.심장병 1단계의 주요 특징증상 없음 (무증상)간헐적인 기침이 나타날 수 있음청진 시 심잡음 발견엑스레이 또는 심초음파로 심장의 약간의 확장 가능성폐에 물이 차지 않음 (폐수종 없음)심장기능이 정상 범위에 있음단계에서의 관리 목표1단계는 ‘병이 더 이상 악화되지 않도록 ..

강아지 신부전 이란?

강아지 신부전에 대한 이해도신부전이란?신부전이란 강아지의 신장이 제 기능을 하지 못하는 상태를 말합니다. 신장은 혈액 속 노폐물과 독소를 걸러내고 수분과 전해질 균형을 유지하는 중요한 장기입니다. 이 기능이 떨어지면 몸 안에 요독이 쌓이고 체액·전해질 불균형이 발생하면서 심각한 건강 문제가 발생할 수 있습니다. 신부전은 발생 시점과 진행 양상에 따라 급성 신부전과 만성 신부전으로 나뉩니다.신부전의 유형급성 신부전 (Acute Kidney Injury, AKI)급성 신부전은 짧은 기간 내에 갑작스럽게 신장 기능이 저하되는 상태입니다. 빠르게 치료하면 회복이 가능하지만, 치료가 늦어지면 생명을 위협할 수 있습니다. 주요 원인은 다음과 같습니다.독성물질 섭취 (포도, 건포도, 백합, 일부 사람용 약물 등)특정..

강아지 신부전 2025.07.21

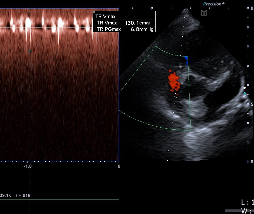
강아지의 승모판 폐쇄부전증 이란?

강아지의 승모판 폐쇄부전증 이란? 강아지의 승모판 폐쇄부전증은 심장의 좌심방과 좌심실 사이에 위치한 **승모판(mitral valve)**이 제대로 닫히지 않아 혈액이 역류하는 질환이다. 이는 강아지 심장질환 중 가장 흔한 형태로, 특히 노령 소형견에서 매우 높은 빈도로 발생한다.이 질환은 진행성(degenerative)인 특성을 가지며, 시간이 지날수록 심부전(congestive heart failure)으로 악화될 수 있다.원인과 발생 위험군주된 원인은 노화에 따른 승모판 구조의 변성이다.판막이 두꺼워지거나, 탄력을 잃고 물결치듯 휘어지면서 정상적인 개폐 작용이 어려워지며 역류가 발생한다.고위험군7세 이상의 노령견말티즈, 푸들, 치와와, 요크셔테리어, 시츄 등의 소형견유전적 요인도 관여 가능병리기전 ..

강아지 심장병 종류와 증상에 대해서

강아지 심장병의 주요 종류와 증상에 대해서강아지 심장병은 말 그대로 심장이 제대로 기능하지 못하는 상태를 의미합니다. 이는 선천적으로 발생할 수도 있고, 나이가 들면서 점점 심장 기능이 약해져 생기기도 합니다.심장은 혈액을 온몸으로 보내는 펌프 역할을 하는데, 이 기능에 문제가 생기면 산소와 영양분이 제대로 공급되지 않아 호흡곤란, 무기력, 기침 등의 증상이 나타납니다.승모판 폐쇄부전증 (MMVD, Mitral Valve Disease)가장 흔한 심장병 중 하나로, 특히 말티즈, 시추, 푸들, 치와와 등 소형견과 노령견에게 많이 발생합니다.심장의 좌심방과 좌심실 사이에 위치한 승모판이 닫히지 않아 혈액이 역류하면서 심장에 부담을 주는 질환입니다.주요 증상잦은 기침 (특히 새벽, 운동 후)호흡이 가빠짐쉽게..

강아지심장병 2025.07.10

한국 전통 된장 만드는 법

한국 전통 된장 만드는 법 된장은 한국 전통 발효식품의 대표주자로, **콩을 삶아 띄운 메주를 소금물에 담가 숙성시켜 만든 장(醬)**이다.짙은 감칠맛, 건강을 위한 발효균, 깊고 풍부한 풍미 덕분에 한식의 핵심 조미료이자 찌개·무침·쌈장의 기본이 된다.외국의 미소(일본), 두유 페이스트(중국)와는 제조 방식, 숙성 원리, 맛에서 본질적으로 다르다.된장은 단순한 조미료를 넘어, 한국인의 삶과 철학이 응축된 정신적 슬로푸드라 할 수 있다.된장의 역사와 문화된장의 역사는 삼국시대 이전으로 추정된다.고려시대 《향약집성방》, 조선시대 《임원경제지》, 《조선무쌍신식요리제법》 등의 고문헌에서도 된장 담그는 법이 소개되어 있으며, 조선시대에는 **장 담그는 날(장날)**이 따로 있을 만큼 중요한 연례행사였다.된장은 ..

한국에서만 있는 비빔밥 문화 – 혼합의 미학과 정(情)의 상징

한국에서만 있는 비빔밥 문화 – 혼합의 미학과 정(情)의 상징비빔밥은 한국을 대표하는 전통 음식 중 하나로, 흰밥 위에 나물, 고기, 계란, 고추장 등을 올리고 골고루 비벼 먹는 한 그릇 요리이다. 외국에서는 흔히 "Korean Mixed Rice" 혹은 "Korean Rice Bowl"이라 번역되지만, 단순한 ‘섞은 밥’ 이상의 의미를 담고 있다. 비빔밥은 재료 간 조화, 절제된 미학, 그리고 공존의 정신이 응축된 한국 고유의 음식 문화다.기원과 역사비빔밥의 기원은 명확하게 기록되어 있진 않지만, 다양한 설이 전해진다.궁중 설: 조선시대 궁중에서 임금이 여러 반찬을 하나로 모아 말아 먹은 것이 기원이라는 설.제사 음식 설: 제사를 지낸 후 여러 음식을 한 그릇에 모아 비벼 먹은 것에서 유래했다는 민간 ..

한국에선 집에 들어가기 전 ‘신발 벗기’, 왜 기본 예절일까?

한국에선 집에 들어가기 전 ‘신발 벗기’, 왜 기본 예절일까?한국을 처음 방문한 외국인들이 가장 먼저 겪는 문화적 차이 중 하나는 바로 실내에서 신발을 벗는 관습이다.식당이나 가정집, 전통 게스트하우스에 방문했을 때,“신발은 벗어주세요.”라는 안내를 받으며 어색함을 느끼는 경우도 많다.그렇다면 왜 한국에서는 **집에 들어가기 전 신발을 벗는 것이 ‘기본 예절’**로 자리 잡았을까?이 글에서는 문화적 배경, 실용적 이유, 예절적 의미를 바탕으로한국의 ‘신발 벗기 문화’를 깊이 있게 이해해보려 한다.온돌 문화에서 비롯된 생활 방식한국의 실내 신발 벗기 문화는 온돌(溫突) 문화와 밀접한 관련이 있다.온돌은 한국 전통 주거 구조로, 아궁이에서 불을 지펴 방바닥을 데우는 난방 방식이다.따뜻한 바닥 위에서 앉거나 ..

한국에서 나이 순으로 시작하는 식사 예절 문화

한국에서 나이순으로 시작하는 식사 예절 문화한국은 전통적으로 유교적 가치관에 깊이 뿌리내린 사회입니다. 일상생활 속 작은 행동 하나하나에도 존중, 질서, 예의를 중요시하며, 그중 하나가 바로 식사 자리에서의 나이순 수저 사용입니다. 단순히 나이 많은 사람에게 양보하는 차원을 넘어서, 이는 한국인의 공동체적 삶과 관계 중심 문화를 상징하는 대표적인 습관입니다.유교 문화와 식사 예절의 뿌리한국에서 “나이순”을 중시하는 식사 예절은 조선시대 유교 윤리에서 비롯되었습니다. 유교에서는 인간관계의 핵심을 ‘오륜(五倫)’이라 하여 부모와 자식, 형과 동생, 친구 사이에도 서열과 도리를 강조했습니다. 이 중 ‘형우제공(兄友弟恭)’ – 형은 아우를 사랑하고 아우는 형을 공경하라 – 는 오늘날의 식사 예절에서도 그대로 살..